症例について

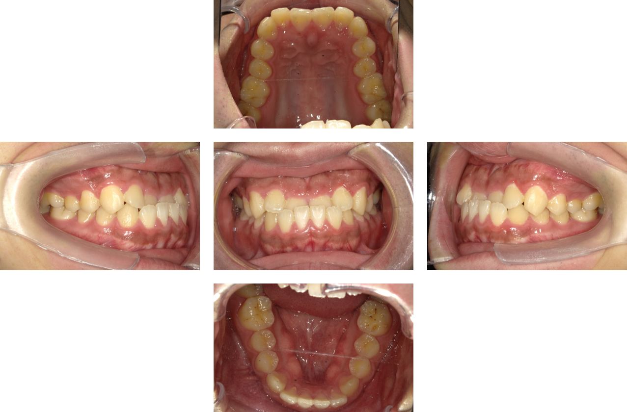
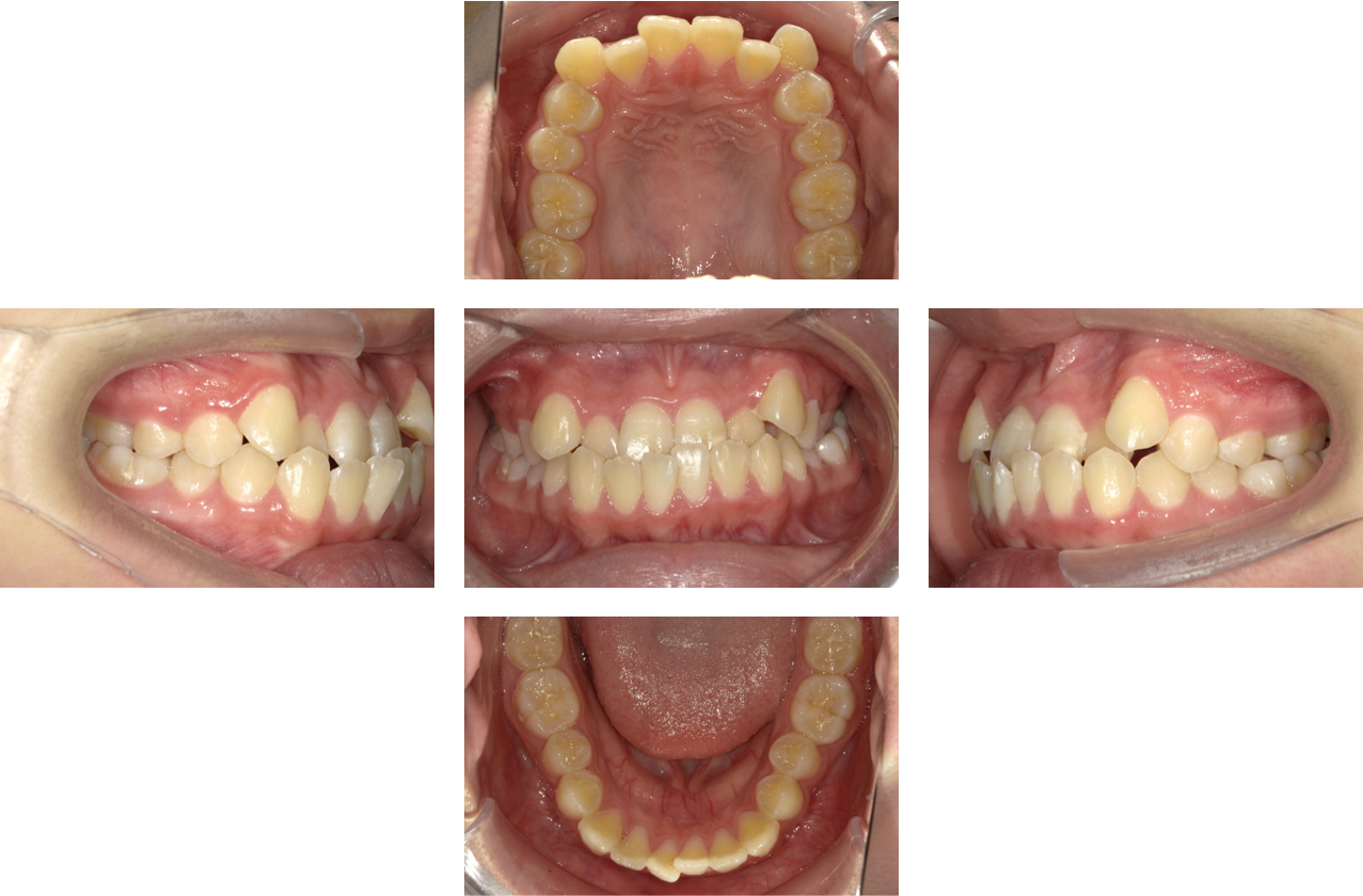
受け口「下顎前突」症例(非抜歯ワイヤー矯正)

年齢 20代 男性
治療期間 1年2ヶ月
基本施術料 77万(税込)
主訴 受け口を治したい
治療内容 ワイヤー矯正(上下表側)

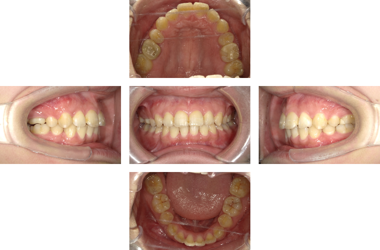
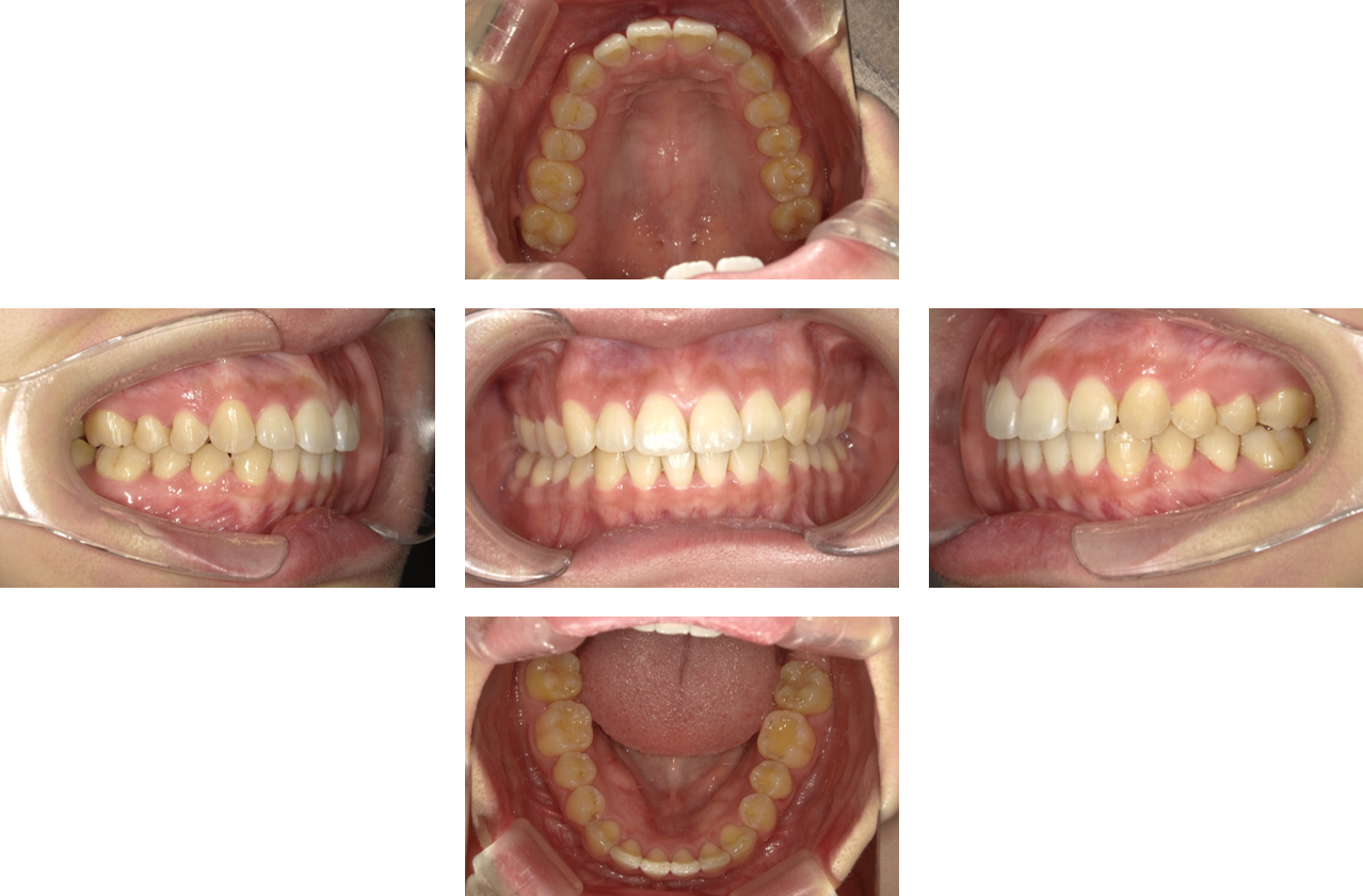
前歯のでこぼこ症例(抜歯、透明マウスピース矯正)

年齢 20代 女性
治療期間 2年10ヶ月
基本施術料 99万(税込)
主訴 前歯のでこぼこを透明マウスピースで治したい
治療内容 抜歯マウスピース矯正

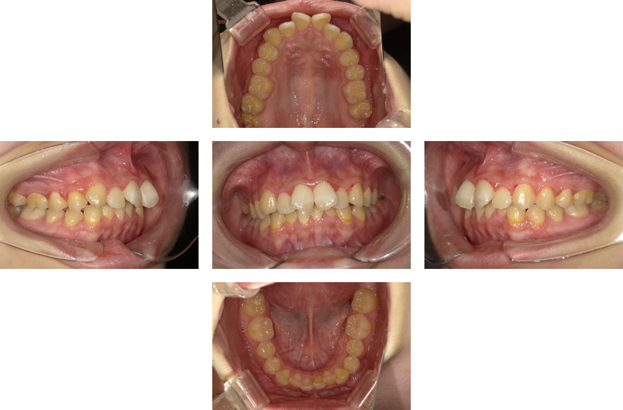
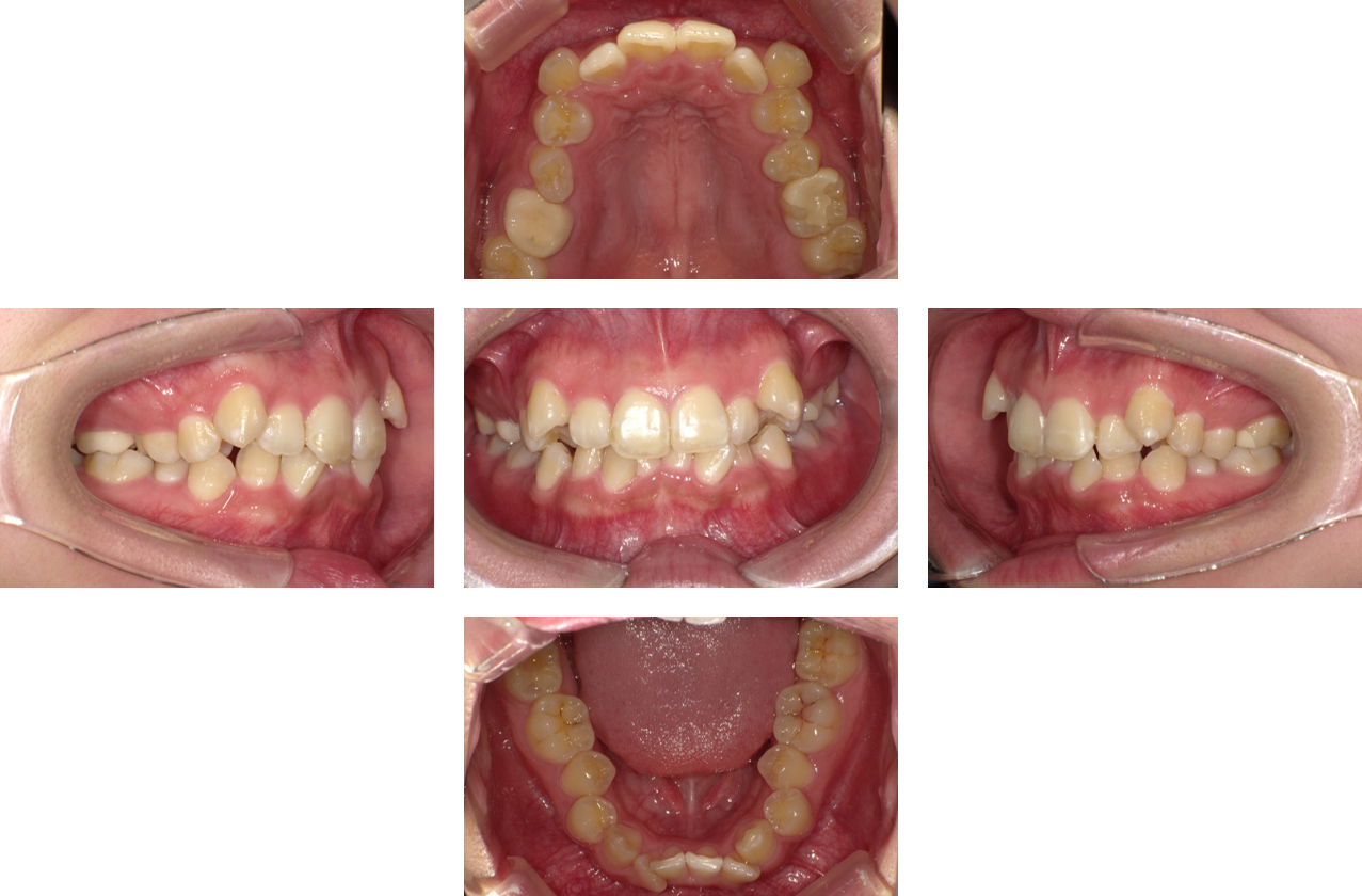
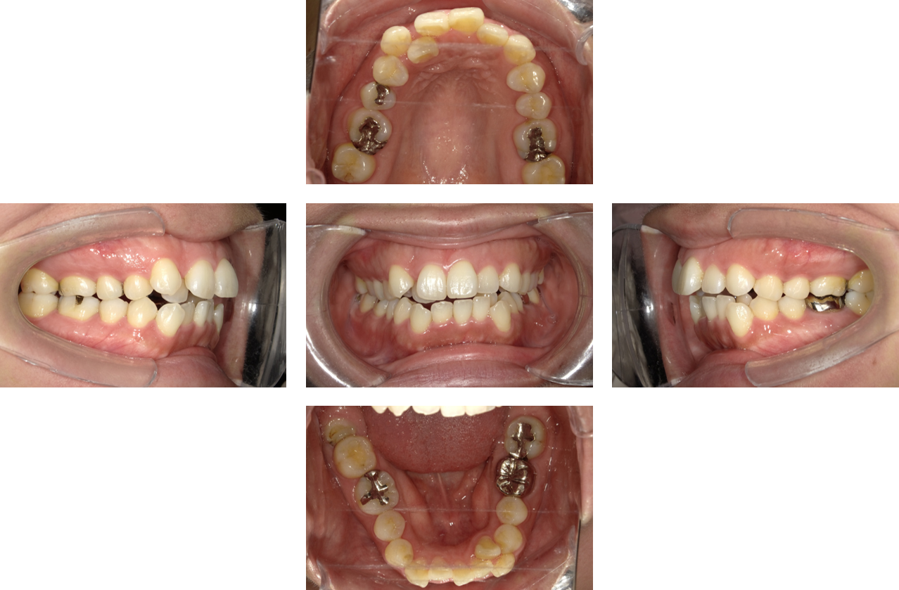
受け口と八重歯症例(非抜歯ワイヤー矯正)

年齢 30代 男性
治療期間 1年10ヶ月
基本施術料 77万(税込)
主訴 見た目を治したい
治療内容 ワイヤー矯正(上下表側非抜歯)

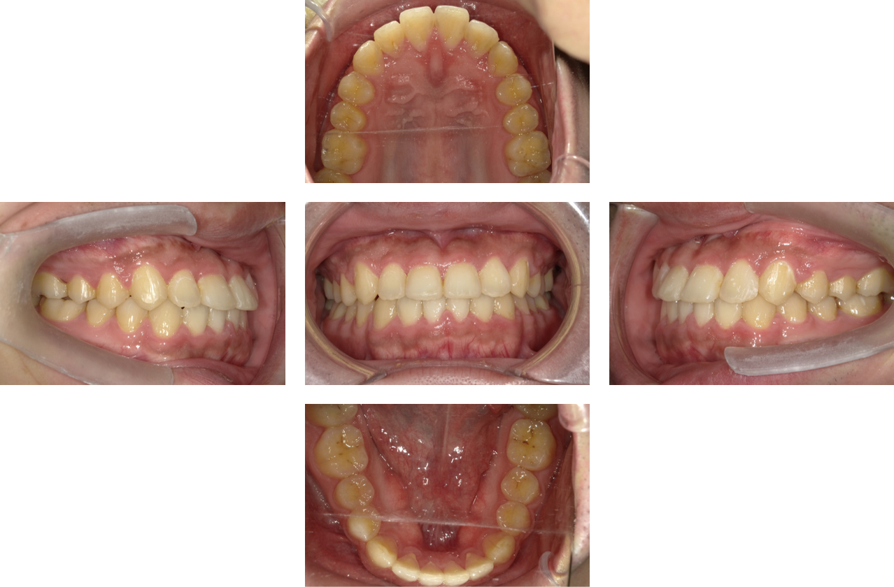
出っ歯とでこぼこ症例 (インビザライン2級)

年齢 20代 女性
治療期間 1年9ヶ月
基本施術料 99万(税込)
主訴 出っ歯とでこぼこを治したい
治療内容 透明マウスピース矯正(非抜歯)

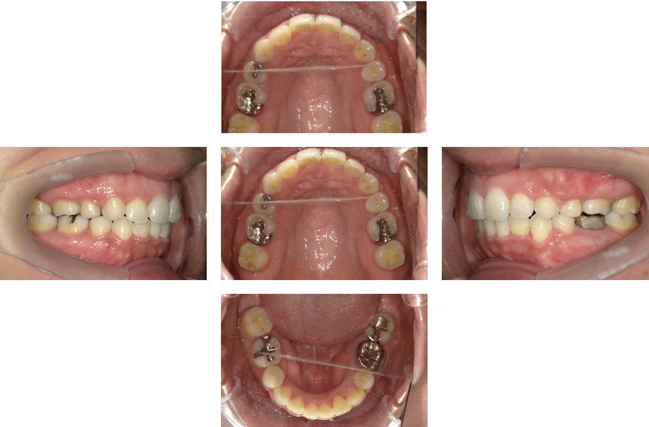
でこぼこと開咬「前歯が咬んでいない」症例(抜歯ワイヤー矯正)

年齢 30代 女性
治療期間 2年6ヶ月
基本施術料 77万(税込)
主訴 見た目と咬み合わせを治したい
治療内容 抜歯ワイヤー矯正(上下表側)
042-314-2222  WEB予約

【診療科目】
一般歯科・小児歯科・予防歯科(歯のクリーニング)・矯正歯科・歯科口腔外科・ホワイトニング・審美歯科・義歯(入れ歯)

診療時間 日・祝
10:00~13:30
15:00~19:30

★土日祝の午後は、14:30~18:00となります

〒183-0056
東京都府中市寿町2丁目4−42 コープ府中寿町店3F

京王線府中駅(東京都) 南口 徒歩5分
武蔵野線府中本町駅 出入口 徒歩10分
武蔵野線北府中駅 出入口 徒歩10分
駐車場:コープ府中寿町店の駐車場をご利用ください。

水槽ができました

この度受付に水槽が設置されました。 水族館で見たことがある魚がいっぱいです。 ここには写っていないお魚さんもたくさんいますので是非探してみてくださいね
ちなみに院長は釣り、ダイビング大好きなお魚マニアなので わからない事があったら何でも聞いてください

Facebook
© 府中市のワイヤー矯正・マウスピース矯正 専門サイト .All Rights Reserved.